16 iunie 2024
Plan de tratament implant dentar include consultatie, extragere, inserare implant si coroana.
9 martie 2024
Dantura fixa pret 2024 este o investitie accesibila pentru zambetul tau.
3 martie 2024
Clinica stomatologica București oferă servicii profesionale de sănătate orală.
28 februarie 2024
Proteză dentară fixă este soluția ideală pentru înlocuirea dinților lipsă.
26 februarie 2024
Chirurgie orală București oferă servicii profesioniste pentru sănătatea danturii tale.
26 februarie 2024
Dantura fixa pret 2024 ofera rezultate estetice exceptionale si confort de neegalat.
22 februarie 2024
Clinica dentara Bucuresti ofera servicii stomatologice de inalta calitate.
18 februarie 2024
DANTURA FIXA 24 ORE PRET ofera solutie accesibila pentru un zambet perfect.
15 februarie 2024
Dantura fixa pret, o investitie esentiala pentru sanatatea orala
12 februarie 2024
Restaurare orală București oferă servicii de înaltă calitate pentru un zâmbet perfect.
6 februarie 2024
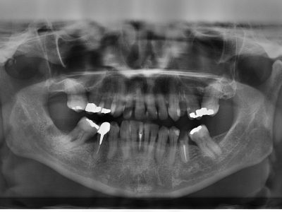
Radiografie dentară București – Servicii profesionale și de înaltă calitate
4 februarie 2024
Dantura fixa pret 2024 este accesibilă pentru toate bugetele.